Зміст сторінки

Приклади робіт

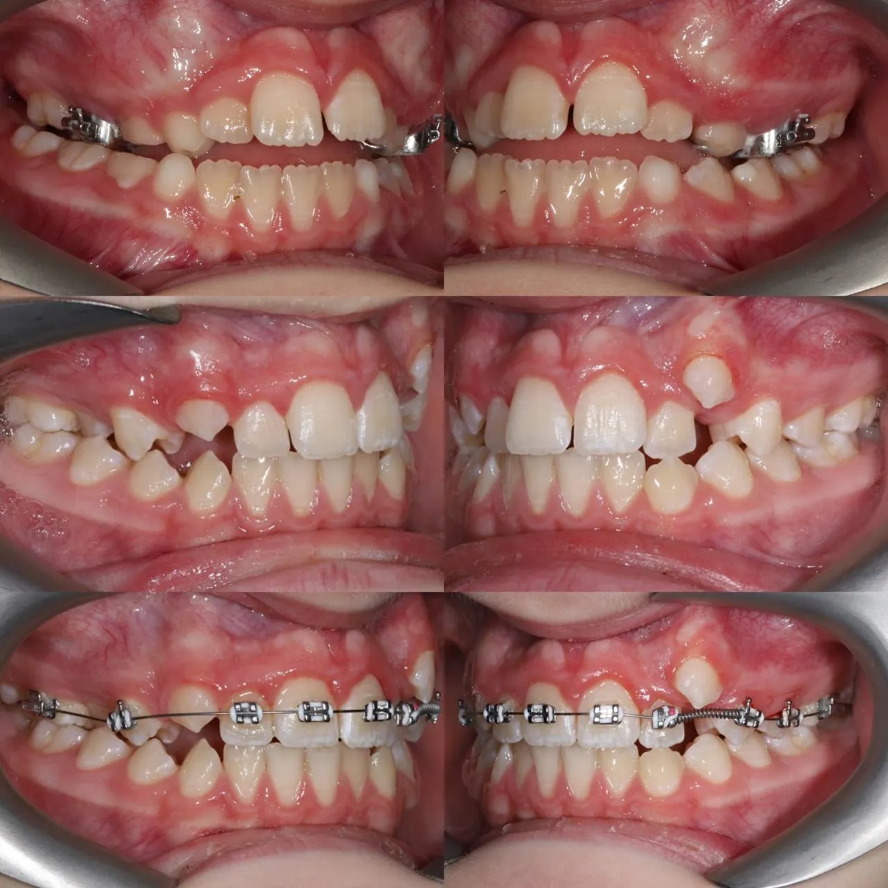
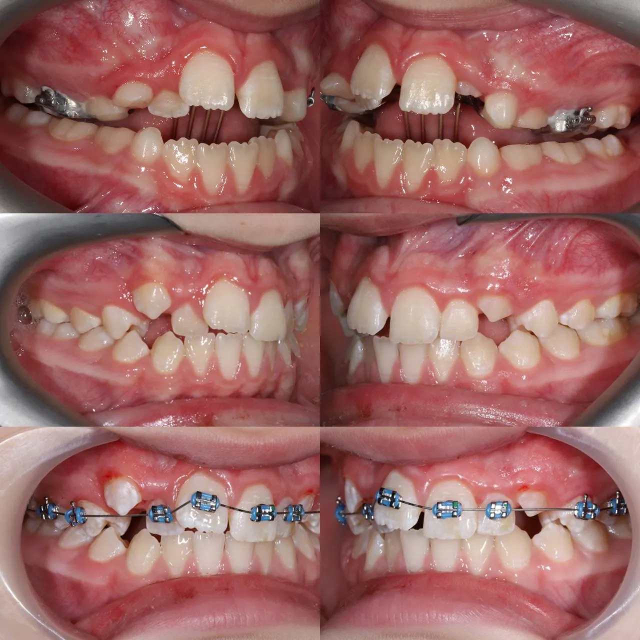
Прогрес лікування дистопованого 23 зуба із звуження верхньої щелепи
Перед фіксацією брекетів було розширення верхньої щелепи апаратом RME, яке тривало 6 місяців. Різниця між фото 4 місяці.
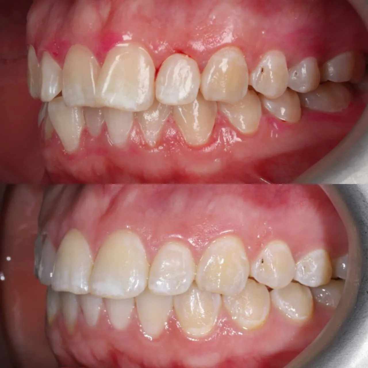
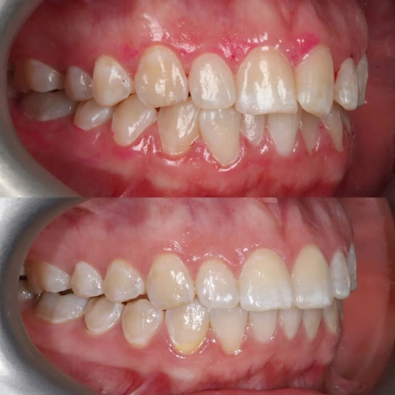
Лікування скупченості зубів металевою лігуючою брекет-системою.
Тривалість лікування - 1 рік 8 місяців.
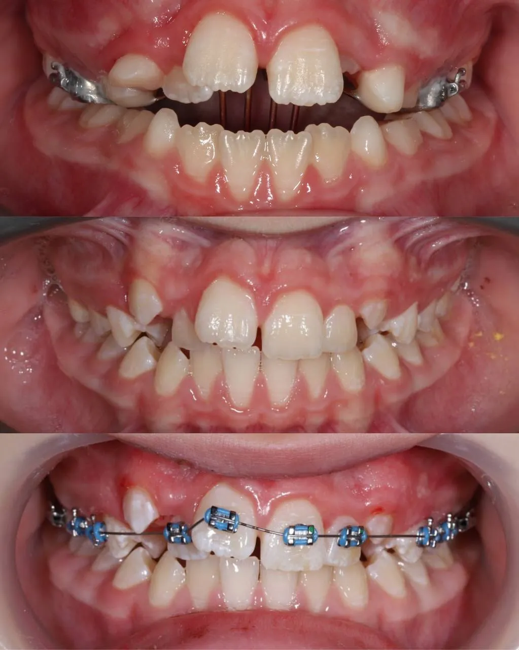
Лікування мезіального перехресного прикусу
Прогрес лікування в 1 рік мезіального перехресного прикусу з первинною адентією 12 зуба.
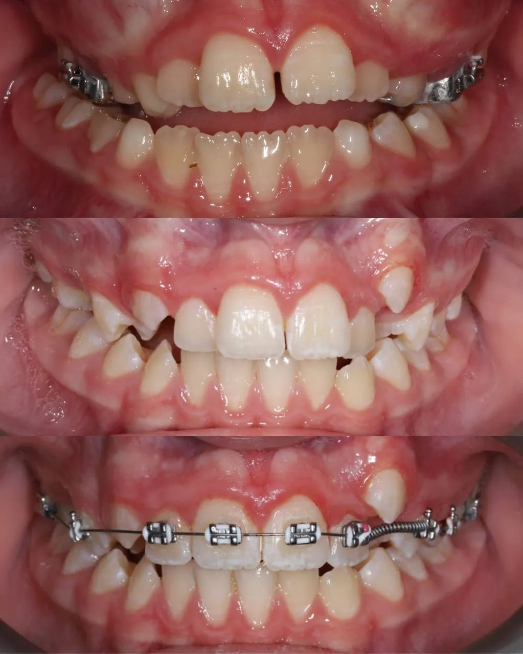
Лікування скупченості зубів
Цікавий випадок лікування близнюків. До моменту звернення 1 рік безуспішного лікування на знімних ортодонтичних пластинках. Першим етапом стало нормалізація носового дихання, незнімний розширяючий апарат на верхню щелепу для нормалізації положення язика та лікування відкритого прикусу. Другий етап - фіксація брекет-системи для лікування скупчення зубів.

Освіта

2013-2018
Полтавський Державний Медичний Університет
2018-2020
Інтернатура, Полтавський Державний Медичний Університет
2021
Спеціалізація по ортодонтії - Полтавський Державний Медичний Університет

Спеціалізація

Стоматолог-ортодонт, гнатолог

2018
Технічні особливості роботи з брекет-системою. Базовий курс. Аветіков Д.С.
2019
Апарат прямої дуги, його конструктивні елементи, особливості їх використання при ортодонтичному лікуванні. Способи і техніка фіксації незнімного апарту прямої дуги в порожнині рота пацієнта. Супутні внутрішньо-і позаротові пристосування. Типодонт. Тяжкороб Т.В.
2019
Орто-Періо-Протектика. Діагностика, планування. Види переміщень зубів. Протокол лікування пародонтологічних пацієнтів. Сорока Оксана.
2019
ІІІ клас Енгля: диференціальна діагностика, особливості формування лицевого скелета, моделювання зубних і альвеолярних дуг комплексним лікуванням з використанням апарату прямої дуги в процесі росту. Типодонт. Тяжкороб Т.В.
2019
Ортодонтичне лікування пацієнтів із дисфункціями СНЩС, больовими синдромами в області обличчя. Діагностика, лікування. Сплінт-терапія. Лужковська Анна.
2019
Особливості роботи з ортодонтичними дугами. Камалова Світлана.
2020
Особливості діагностики та лікування патологій ІІ класу. Камалова Світлана.
2020
Практичний майстер-клас з дентальної рентгенології.
2020
Цикл онлайн-курсів "Дитяча ортодонтія" OHI-S.
2020
Мистецтво гнатології. Говоримо просто про складне. Діагностичний протокол від А до Я. Ара Геокчян.
2020
Мінімпланти і скелетний анкораж. Денис Перепелкин.
2020
Позиціювання брекетів. Ірина Корнило.
2020
Використання Mulligan в ортодонтичній практиці. Ірина Корнило.
2020
Лікування патологій ІІ класу. Твін блоки Кларка, Forsus та ін. Назаоій Туз.
2020
Онлайн-курс. Біомеханіка в ортодонтичному лікуванні. Giorgio Fiorelli.
2021
Сканер Trios в цифровому протоколі створення ортодонтичних апаратів. Щоденний ЗD робочий процес: проектування і виготовлекння цифрових апаратів в ортодонтичній лабораторії. Ганчук В.В.
2021
Гнатологічна ортодонтія. Назарій Броцький.
2021
Невідкладні стани в стоматологічній практиці. Дем'янюк М.В.
2021
BEND ME! Ефективне переміщення зубів. Вигини та петлі. Вадим Триль.
2021
Практичний навчальний майстер-клас «Віртуальний пацієнт».
2022
Цикл онлайн-курсів «Мікроімпланти». Нурдінов І.Р.
2022
Цикл онлайн базового курсу «Рецепти ортодонтичного щастя». Нурдінов І.Р.
2023
«The Magic of Digital Orthodontics». Блажків Назарій.
2023
Вебінар «КПКТ в практиці лікаря ортодонта».
2023
Вебінар «Все про сплінт-терапія в концепції Roth/Williams».
2022
«The Magic of Digital Orthodontics». Блажків Назарій.
2023
Цифрові технології в ортодонтії. Шминдюк М.О.
2023
«Aligners: from A to Z». Блажків Назарій.

Дипломи і сертифікати

Отримайте консультацію

Залиште телефон і адміністратор відповість на всі ваші питання

    Ваше ім’я:
    Ваш телефон:
    Коментар:

    Відгуки

    Катерина Яковенко
    25 відгуків
    1 тиждень
    Нам 4 рочки. У нас напухли ясна і почали боліти зубки. Дитина після невдалого досвіду у стоматолога панічно боїться будь-яких маніпуляцій. Єдиним рішенням було лікування зубчиків під седацією. Я хвилювалася, незнаючи як все відбувається і яка буде реакція організму дитини на наркоз. Довго шукала хорошу поліклініку, вибір зупинила на Сучасній сімейній стоматології. Наш лікар-анестезіолог, Пожар Олександр Вячеславович просто супер. Дбайливо ставився до дитини. Розповів, як буде проходити лікування та яких рекомендацій потрібно дотримуватися перед маніпуляцією. У день маніпуляції мені надали більш ніж детальну інформацію та подбали про мій спокій, адже процедура тривала 3 години. Велика подяка Олександру Вячеславовичу, який був з нами постійно, від моменту введення медикаментозний сон і до пробудження. Окрема подяка стоматологу-терапевту Гопкалу Артему Сергійовичу, який вміло підійшов до дитини під час огляду. Моя дитина відразу знайшла з ним спільну мову та обіцяла повернутися ще. Дякую персоналу за професіоналізм та дуже турботливу атмосферу. Ідея з подарунком від зубної феї - це взагалі супер! Рекомендуватиму клініку, і звичайно, періодично з’являтимемось на профілактичні огляди💖
    Детальніше
    Yaroslav Amelchenko
    7 відгуків
    2 місяці
    Хочу порекомендувати цю клініку (періодично лікуюсь з 2016). На цей раз дуже виручили зі складним видаленням зуба мудрості. Дякую лікарю-хірургу Бароян Е.Е! Також собливо хочу відзначити лікаря-анестезіолога Пожар О.В. Дуже професійно та якісно провів седацію. Робив зуби вперше під такою процедурою. Тепер щось складне тільки з нею, бо маю страх з дитинства медичних маніпуляцій. Швидко заснув - проснувся з вирішеною проблемою, а завдяки спеціальним медікаментам загоєння та відхід від анестезії пройшли дуже швидко. В цілому, в котрий раз клініка підтверджує звання найкращої в Черкасах (оф. звання за 2022 рік від TopUA Award), а на мій погляд по співвідношенню ціна-якість одна з найкращих в країні! Вже 3й рік їзджу з іншого міста (за 350км) від Че), але альтернативи для себе не знайшов. Ще раз дякую ССС !)
    Детальніше
    Алла Ястремская
    122 відгуки
    2 тижні
    13.11.23 видаляли дочці одночасно чотири зуби “мудрості” під седацією. Дуже хвилювалися, але все пройшло добре! Процедура пройшла безболісно, через годинку прокинулась і вже хвилин через 40 поїхали додому. Больового синдрому взагалі не було в день видалення. На наступний день також все добре, набряк відсутній, дискомфорт тільки від накладених швів. Готувалися до гіршого, але навіть не очікували що все пройде саме так! Величезна подяка лікарям анастезіологу та хірургу! Лікар анестезіолог дуже уважний, заспокоїв нас перед процедурою, дякую! У разі проведення хірургічних маніпуляцій рекомендую скористатися седацією.
    Детальніше
    Людмила Панасенко
    1 відгук
    3 тижні
    Всім доброго дня! Хочу написати відгук та подяку Сучасній Сімейній Стоматології. Моя донька лікується в цій клініці вже 3 роки. Спочатку були брекети, зубки вирівнялися, далі щоб не було зміщення було заплановано видалення зачатків зубів мудрості. Видалення планували із седацією. Дуже сильно хвилювалися, бо не знали, що таке седація, як вона проходить, та й видаляти треба було всі чотири зуба. Але все пройшло супер! Донька взагалі не відчувала ні болю, ні дискомфорту! Велика подяка лікарям хірургу Олексію Ігоровичу та анестезіологу Олександру В'ячеславовичу за хорошу роботу, за чуйне відношення. Разом з вами ми позбулися застарілих стереотипів, що стоматолог це страшно і боляче.
    Детальніше
    Олена Різник
    37 відгуків
    2 тижні
    Шукала лікаря стоматолога, тому що мій виїхала за кордон. Мені дуже важливо знайти саме свою клініку, де я буду максимально довіряти лікарям. Тому шукала по відгукам серед знайомих, виявилось більшість відвідують Сучасну Сімейну Стоматологію. Почитала ще відгуки в інтернеті - теж більшість максимально задоволених пацієнтів. Тому теж пишу відгук, що люди могли обрати дійсно якісний сервіс. Спочатку вирішили зателефонувати дізнатись: дуже привітні адміністратори, ввічливі, терпляче все пояснили, допомогли спланувати перший візит, зафіксували всі мої побажання. Мені сподобалось, що підходять дуже свідомо і грунтовно, спочатку КТ(яке доречи, тут в клініці і оператор КТ сказала, що обладнання найновіше дуже точне, оновили менше місяця тому), потім консультація у лікаря, який вже на підставі КТ може описати реальну картину. Мені сподобався лікар, якщо не помиляюсь Бутенко Олег Юрійович, асистент такий усміхнений на вигляд кремезний а виявився такий добрий і турботливий, як ведмедик. Лікар розписав план лікування, я спочатку не розуміла навіщо починати з чистки, я взагалі то не за цим прийшла. Але лікарі своїми професійними діями довели, що це реально важливо, після зняття каменів, можуть чекати сюрпризи, тому це важливий етап. зараз проходжу комплексне лікування, дуже задоволена. Для дітей мені порадили дитячих лікарів з цієї клініки, але ще не ходила. Впевнена, що все буде так само чудово. як і зі мною.
    Детальніше
    Юлія Нартайлакова
    1 відгук
    2 місяця
    Доброго дня. Мене звати Юлія хочу залишити відгук про Сучасну Сімейну Стоматологію. 04.06.2024р моєму синові в цій клініці видаляли чотири зуба мудрості седативним способом, я дуже задоволена відношенням лікарів та самою процедурою. В цій же клініці ми ставили брекети, рекомендую. Лікарі чудові , мають індивідуальний підхід до кожної дитини та дорослого. Після таких лікарів діти не матимуть страху перед стоматологоми. Дуже вдячна лікарям за їх чудове відношення .
    Детальніше
    Mykola Kurdus
    1 відгук
    1 місяць
    З радістю поділюся своїм досвідом з Сучасною Сімейною Стоматологією. Недавно пройшов тут процедуру чистки зубів і залишився дуже задоволений. Весь персонал - справжні професіонали своєї справи. Вони розуміють мене з півслова, що створює відчуття комфорту та довіри під час візиту. Процедура чистки пройшла швидко, безболісно і якісно. Особливо хочеться відзначити дружню атмосферу та турботливе ставлення до пацієнтів. Рекомендую Сучасну Сімейну Стоматологію всім, хто шукає професійний підхід та високий рівень обслуговування!
    Детальніше