Зміст сторінки

Приклади робіт

Лікування карієсу
Лікування вторинного карієсу 45.46.47.
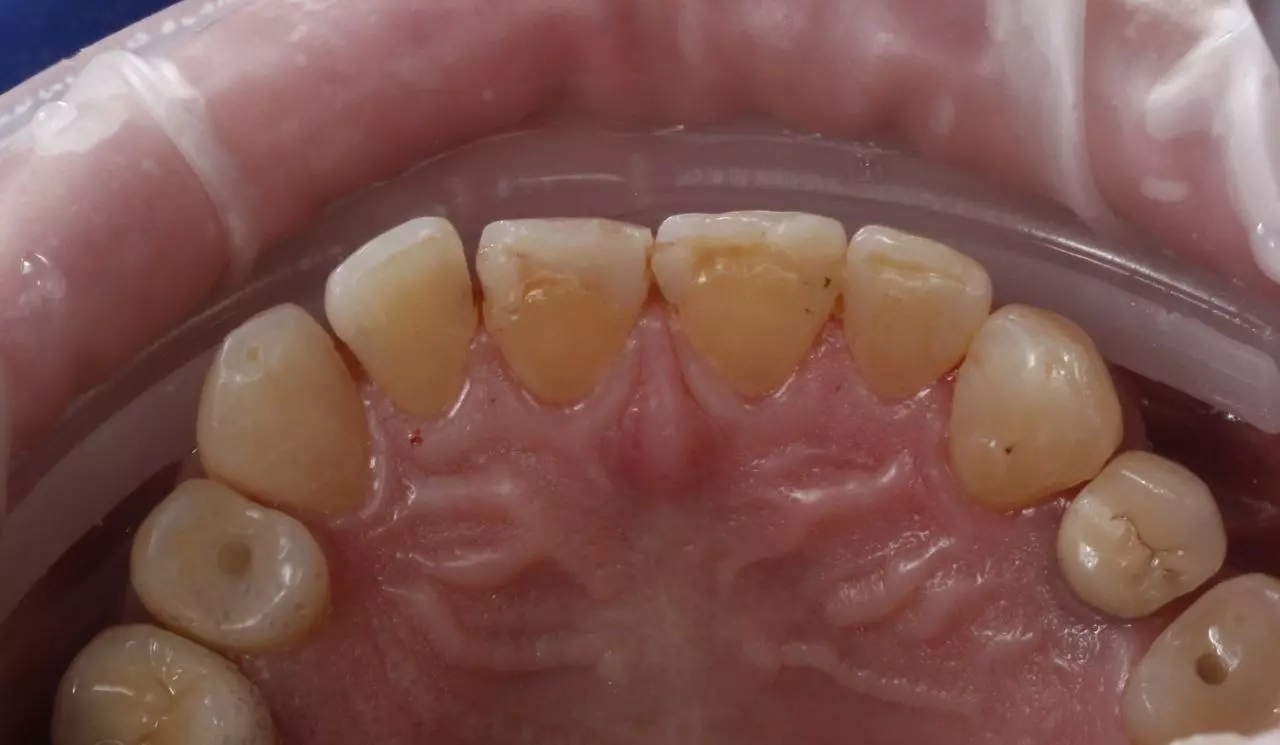
Художня реставрація
Художня реставрація 13.12.11.21.22.
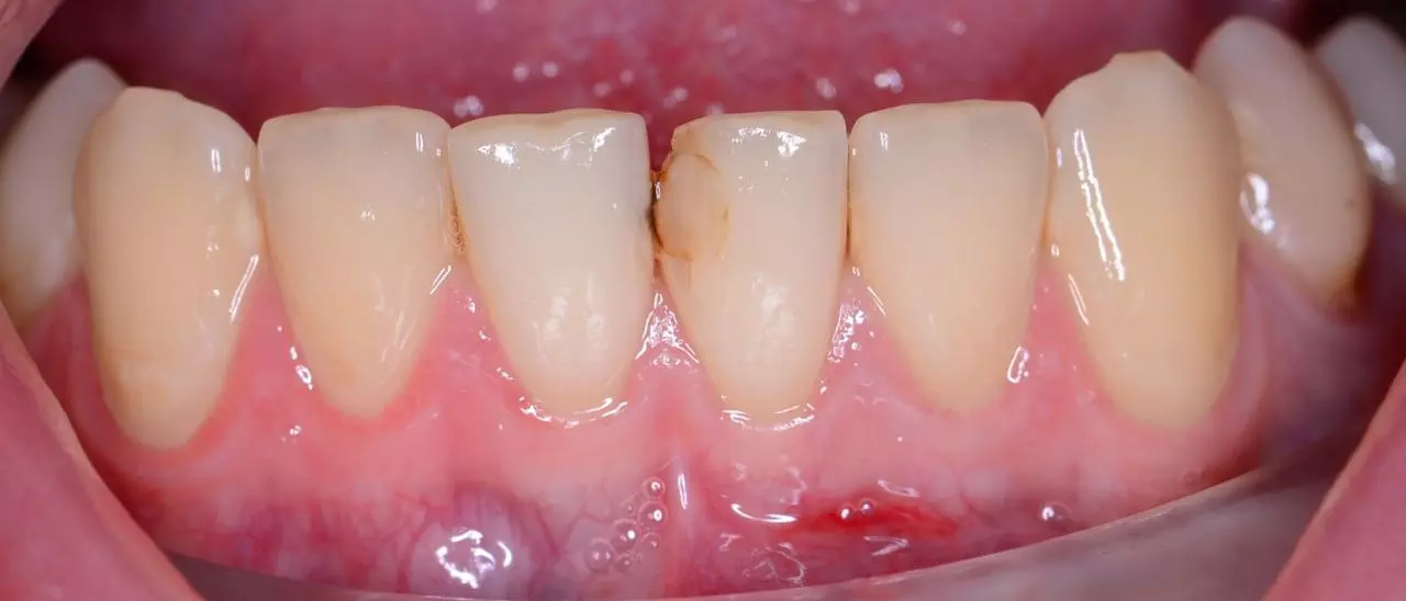
Художня реставрація
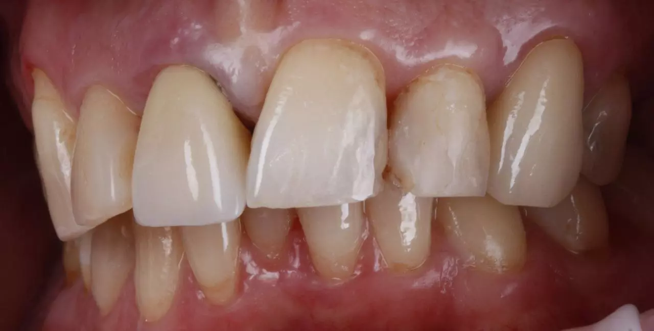
Художня реставрація 21.22.
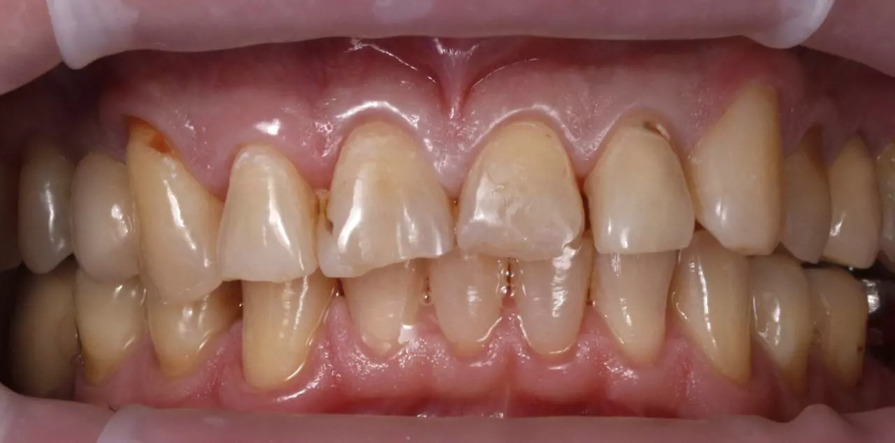
Лікування карієсу
Лікування карієсу 41, вторинного карієсу 31.

Освіта

2009-2014
Українська медична стоматологічна академія, м. Полтава
2014-2015
Інтернатура, Державний медичний університет імені академіка Павлова, м. Санкт-Петербург
2019
Спеціалізація, Українська медична стоматологічна академія, м. Полтава

Спеціалізація

Стоматолог-терапевт

2012
Ендодонтія по правилам 3. Мистецтво інструментації, м. Київ.
2013
Ендодонтія по правилам 1. Початок шляху, Максим Білоград, м. Полтава.
2014
Пряма реставрація девітальних зубів з використанням скловолоконних штифтів. Базове ендодонтичне лікування, м. Полтава.
2016
Практичне заняття. Робота Протейпер і пломбування Термафіл, Зав'ялова Н.Г., м. Санкт-Петербург.
2017
Ендо. Погляд генераліста, Шеуджен К.Б., м. Санкт-Петербург.
2017
Лекція та практичний курс "Ускладнення ендодонтичного лікування: профілактика та тактика усунення помилок", Леандро Перейра, м. Санкт-Петербург.
2019
Фронтальні реставрації + реставрації жувальної групи, Жуйков. А., м. Черкаси.
2019
Реставрація фронтальної і бокової групи зубів від А до Я на щоденному прийомі, Гордійчук В., м. Київ.
2020
Практичний майстер-клас з дентальної рентгенології, Студент В., м. Черкаси.
2020
Як обрати систему для клінічного та домашнього відбілювання зубів, Кирманов О.
2020
Результативне відбілювання від А до Я, Кирманов О.
2021
Пряма реставрація. Просто про оклюзійну поверхню та бондінг, Білоград М.
2021
Моделювання форми і топографії зубів в біоміметичній концепції, Радлінський С.
2022
Тріщини зубів. Біологічні наслідки та клінічне ведення, Рікуччі Д.
2022
Майстер-клас "Моделювання форми і топографії передніх та бокових зубів в біоміметичній концепції", Лазарева К., м. Полтава.
2022
Протокол безінвазивної композитної реставрації фронтальної ділянки, Богачук В.

Дипломи і сертифікати

Отримайте консультацію

Залиште телефон і адміністратор відповість на всі ваші питання

    Ваше ім’я:
    Ваш телефон:
    Коментар:

    Відгуки

    Катерина Яковенко
    25 відгуків
    1 тиждень
    Нам 4 рочки. У нас напухли ясна і почали боліти зубки. Дитина після невдалого досвіду у стоматолога панічно боїться будь-яких маніпуляцій. Єдиним рішенням було лікування зубчиків під седацією. Я хвилювалася, незнаючи як все відбувається і яка буде реакція організму дитини на наркоз. Довго шукала хорошу поліклініку, вибір зупинила на Сучасній сімейній стоматології. Наш лікар-анестезіолог, Пожар Олександр Вячеславович просто супер. Дбайливо ставився до дитини. Розповів, як буде проходити лікування та яких рекомендацій потрібно дотримуватися перед маніпуляцією. У день маніпуляції мені надали більш ніж детальну інформацію та подбали про мій спокій, адже процедура тривала 3 години. Велика подяка Олександру Вячеславовичу, який був з нами постійно, від моменту введення медикаментозний сон і до пробудження. Окрема подяка стоматологу-терапевту Гопкалу Артему Сергійовичу, який вміло підійшов до дитини під час огляду. Моя дитина відразу знайшла з ним спільну мову та обіцяла повернутися ще. Дякую персоналу за професіоналізм та дуже турботливу атмосферу. Ідея з подарунком від зубної феї - це взагалі супер! Рекомендуватиму клініку, і звичайно, періодично з’являтимемось на профілактичні огляди💖
    Детальніше
    Yaroslav Amelchenko
    7 відгуків
    2 місяці
    Хочу порекомендувати цю клініку (періодично лікуюсь з 2016). На цей раз дуже виручили зі складним видаленням зуба мудрості. Дякую лікарю-хірургу Бароян Е.Е! Також собливо хочу відзначити лікаря-анестезіолога Пожар О.В. Дуже професійно та якісно провів седацію. Робив зуби вперше під такою процедурою. Тепер щось складне тільки з нею, бо маю страх з дитинства медичних маніпуляцій. Швидко заснув - проснувся з вирішеною проблемою, а завдяки спеціальним медікаментам загоєння та відхід від анестезії пройшли дуже швидко. В цілому, в котрий раз клініка підтверджує звання найкращої в Черкасах (оф. звання за 2022 рік від TopUA Award), а на мій погляд по співвідношенню ціна-якість одна з найкращих в країні! Вже 3й рік їзджу з іншого міста (за 350км) від Че), але альтернативи для себе не знайшов. Ще раз дякую ССС !)
    Детальніше
    Алла Ястремская
    122 відгуки
    2 тижні
    13.11.23 видаляли дочці одночасно чотири зуби “мудрості” під седацією. Дуже хвилювалися, але все пройшло добре! Процедура пройшла безболісно, через годинку прокинулась і вже хвилин через 40 поїхали додому. Больового синдрому взагалі не було в день видалення. На наступний день також все добре, набряк відсутній, дискомфорт тільки від накладених швів. Готувалися до гіршого, але навіть не очікували що все пройде саме так! Величезна подяка лікарям анастезіологу та хірургу! Лікар анестезіолог дуже уважний, заспокоїв нас перед процедурою, дякую! У разі проведення хірургічних маніпуляцій рекомендую скористатися седацією.
    Детальніше
    Людмила Панасенко
    1 відгук
    3 тижні
    Всім доброго дня! Хочу написати відгук та подяку Сучасній Сімейній Стоматології. Моя донька лікується в цій клініці вже 3 роки. Спочатку були брекети, зубки вирівнялися, далі щоб не було зміщення було заплановано видалення зачатків зубів мудрості. Видалення планували із седацією. Дуже сильно хвилювалися, бо не знали, що таке седація, як вона проходить, та й видаляти треба було всі чотири зуба. Але все пройшло супер! Донька взагалі не відчувала ні болю, ні дискомфорту! Велика подяка лікарям хірургу Олексію Ігоровичу та анестезіологу Олександру В'ячеславовичу за хорошу роботу, за чуйне відношення. Разом з вами ми позбулися застарілих стереотипів, що стоматолог це страшно і боляче.
    Детальніше
    Олена Різник
    37 відгуків
    2 тижні
    Шукала лікаря стоматолога, тому що мій виїхала за кордон. Мені дуже важливо знайти саме свою клініку, де я буду максимально довіряти лікарям. Тому шукала по відгукам серед знайомих, виявилось більшість відвідують Сучасну Сімейну Стоматологію. Почитала ще відгуки в інтернеті - теж більшість максимально задоволених пацієнтів. Тому теж пишу відгук, що люди могли обрати дійсно якісний сервіс. Спочатку вирішили зателефонувати дізнатись: дуже привітні адміністратори, ввічливі, терпляче все пояснили, допомогли спланувати перший візит, зафіксували всі мої побажання. Мені сподобалось, що підходять дуже свідомо і грунтовно, спочатку КТ(яке доречи, тут в клініці і оператор КТ сказала, що обладнання найновіше дуже точне, оновили менше місяця тому), потім консультація у лікаря, який вже на підставі КТ може описати реальну картину. Мені сподобався лікар, якщо не помиляюсь Бутенко Олег Юрійович, асистент такий усміхнений на вигляд кремезний а виявився такий добрий і турботливий, як ведмедик. Лікар розписав план лікування, я спочатку не розуміла навіщо починати з чистки, я взагалі то не за цим прийшла. Але лікарі своїми професійними діями довели, що це реально важливо, після зняття каменів, можуть чекати сюрпризи, тому це важливий етап. зараз проходжу комплексне лікування, дуже задоволена. Для дітей мені порадили дитячих лікарів з цієї клініки, але ще не ходила. Впевнена, що все буде так само чудово. як і зі мною.
    Детальніше
    Юлія Нартайлакова
    1 відгук
    2 місяця
    Доброго дня. Мене звати Юлія хочу залишити відгук про Сучасну Сімейну Стоматологію. 04.06.2024р моєму синові в цій клініці видаляли чотири зуба мудрості седативним способом, я дуже задоволена відношенням лікарів та самою процедурою. В цій же клініці ми ставили брекети, рекомендую. Лікарі чудові , мають індивідуальний підхід до кожної дитини та дорослого. Після таких лікарів діти не матимуть страху перед стоматологоми. Дуже вдячна лікарям за їх чудове відношення .
    Детальніше
    Mykola Kurdus
    1 відгук
    1 місяць
    З радістю поділюся своїм досвідом з Сучасною Сімейною Стоматологією. Недавно пройшов тут процедуру чистки зубів і залишився дуже задоволений. Весь персонал - справжні професіонали своєї справи. Вони розуміють мене з півслова, що створює відчуття комфорту та довіри під час візиту. Процедура чистки пройшла швидко, безболісно і якісно. Особливо хочеться відзначити дружню атмосферу та турботливе ставлення до пацієнтів. Рекомендую Сучасну Сімейну Стоматологію всім, хто шукає професійний підхід та високий рівень обслуговування!
    Детальніше